Серія 1. «Само пройде»
Коли коліно хруснуло, здалося, що це дурниця — бо болю не було. Стояти якісно не могла, кульгала, але не понад те. Тож на всі прохання близьких з'їздити у травмпункт відмахувалась.
Зокрема тому, що боялася потрапити на некваліфікованого чергового лікаря. Зокрема, голова Національної служби здоров’я Наталія Гусак нещодавно посилалася на дослідження USAID, Світового банку, що в Україні не більш ніж 50 % лікарів використовують сучасні протоколи й настанови лікування.
Уже колишній перший заступник міністра охорони здоров’я Сергій Дубров припускав, що таких лікарів у країні близько 30 %. А якщо попитати доказових лікарів у полях, то вони взагалі говорять про 10–15 %.
Тож я вирішила поспостерігати і поїхати за потреби вже до лікаря, який має репутацію доказового.
Серія 2. Діагностика в медзакладі 1
Кульгання не минало. Коли я ставила ногу якось не так, за секунду опинялася з гострим болем на підлозі. Підводилася — болю як і не було.
«Дивно», — подумала і таки записалася до приватного ортопеда. Знаного. Не будь-кого. Пришкандибала в кабінет через тиждень після травми. Лікар оглянув, провів тести: «200 %, що у вас розірвана передня хрестоподібна зв’язка. Є два варіанти: нічого не робити (жити так) або операція».
Звісно, перший не підходив, бо мій рівень активності вищий від середнього: я мама, собачниця і планую продовжувати активне життя.
Тож вийшла з рекомендаціями МРТ і планувати операцію, налаштована пошвидше провести втручання і почати реабілітацію.
Операція зветься артроскопія. Суть втручання в тому, що з вашої ж іншої жилки формують нову хрестоподібну зв’язку, дірявлять суглоб і кріплять металом нову зв’язку. Далі — місяці реабілітації, а тоді можна хоч у гори пішки.
Зустрілася з хірургом, який мав оперувати. Небагатослівний. Але сподобався. Домовились навіть за дату. Але коли клініка нарахувала поза 100 000 гривень за операцію, вирішила пошукати ще одну думку. Чи справді потрібна така операція і за такі гроші.
Серія 3. «Вас хотіли оперувати із запаленням?»
Топова фахівчиня зі сфери здоров’я порадила свого хірурга-ортопеда, який оперував її. Так пришкандибала у медзаклад 2.
«Чому нога не зафіксована?» — щиро здивувався лікар під час зустрічі. Я вільно ходила містом з порваною зв’язкою, залагоджувала справи, працювала, бо ж не боліло і попередній лікар сказав, що гірше не буде.
Почула від цього лікаря, що попередні не надто дбали про мене як пацієнтку, бо зафіксована нога — це база. Це треба було зробити, аби не погіршувати стан. Може, взагалі не знадобилася б операція. До того ж там є запалення вже третій тиждень, оперувати в такому стані — це ризик ускладнень.
Сиділа на кушетці і відчувала, як червоніють щоки і стає важко дихати. Якого біса? Лікар рекомендував одразу купити ортез (називаю його гіпсом на липучках) — зафіксувати й знерухомити, а запалення зняти таблетками.
Відправив додому: з операцією поспішати не треба, спершу знімемо запалення, розробимо ногу, тоді й побачимо, чи є потреба у втручанні. Сума за операцію в неприватному закладі була орієнтовно дві тисячі доларів.
Єдине, в чому його позиція сходилася з попередніми двома лікарями — зв’язка дійсно порвана.
З кабінету вийшла в сльозах. Як думки трьох, далеко не дурних, рекомендованих лікарів, можуть так різнитися? І головне — через цю невизначеність втратила час і продовжувала втрачати. Це погіршувало і емоційний стан, і якість життя загалом.
Серія 4. Саме той метч
Поки їхала маршруткою по ортез, написала знайомому знаному хірургу. Раніше не хотіла його тривожити через «дрібниці». А тут уже розуміла, що без нього не обійдусь.
Попросила скерувати кудись по третю думку. Так опинилася у військового хірурга, який зрідка приймає в цивільному медзакладі.
«Що, зафіксували вам уже ногу?» — пожартував під час знайомства, коротко знаючи мою історію.
Оглянув, підтвердив порваність зв’язки, показав, де ще інші пошкодження в коліні сталися — дві тріщини і порваний меніск.
Він був згодний з попереднім лікарем, що нога мала бути одразу зафіксована, аби максимально могла пролікувати себе, що кількатижневе вільне ходіння поступово погіршувало стан. Тим паче там є запалення. Теж сказав, що оперувати запалене коліно не можна, бо це ризик ускладнень, і перерахував яких.
Тут уявіть мою добірну галицьку лайку.
Сказав, що вже в цьому стані постійно носити ортез до операції не допоможе, імовірна шкода вже завдана (прекрасно, подумала я). Тому ортез носити слід на вулиці, аби випадково не посилити травму, а вдома можна чалапати без нього.
Слід зняти запалення ліками, а коли мине, десь за тиждень — розробляти ногу перед операцією спецвправами від American Academy of Orthopaedic Surgeons. Бо що в кращому стані зайду в операцію, то у кращому почну реабілітацію опісля.
З цим третім хірургом ми проговорили годину. Це був повний метч за всіма потрібними мені параметрами, зокрема емоційними. Закордонні стажування, посилання на дослідження, англійська мова, максимально докладний чіткий опис, що сталося в коліні і що буде далі. Мені нарешті стало спокійно. Вийшла усміхнена, з думкою, що хочу оперуватись точно тут. Але внутрішній черв’ячок не давав спокою. Стільки втраченого часу! А ще ж така довга реабілітація опісля!
Для 32-річної активної жінки, яка легко находжувала за день 10 км, дуркувала і гуляла з дитиною годинами по майданчиках, травма стала ударом. Брак самозарадності дратував більше, ніж факт травми.
Не можу самотужки завезти-забрати дитину із садка, не можу гуляти з нею містом. Стала повільніша в рази в пересуванні: навколо стільки довбаних сходів! Про пересування маршрутками і метро промовчу. Бо коли нога зафіксована ортезом — не зігнеш, у маршрутці сядеш лише на два крісла під криві погляди, а в метро зможеш їхати хіба стоячи, аби натовп не перечіплявся об травмовану ногу, поки сидиш.
Серія 5. Вертаємось до лікаря 1
Уже якось змирилася, що сталася дурня, що такі реалії нашої медицини: «як хочу, так лікую і так трактую». І занурилася в реабілітацію коліна до операції. Дві години рутинних вправ щодня.
Та так сталося, що найпершому ортопеду передали мої поневіряння. І з лінками на англомовні якісні джерела він пояснив, що вважає свою тактику правильною.
Та що б тебе! Звідки в пересічної пацієнтки достатньо клінічних знань, аби перевірити всі нюанси, навіть якщо сяду перекладати кожне речення кожної статті? А органу, куди можна звернутися, щоб розібрали кейс і пояснили, як має бути, у нас не існує. І це ж мова навіть не про гроші чи покарання когось із цього ланцюжка. А про фахову дискусію, яка вела б до стандартизації найкращих практик у всіх медзакладах. Але то вже забігаю наперед. Ви ще кумедної історії про операцію не прочитали.
Серія 6. Операція
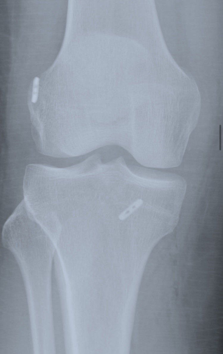
Як писала вище, з останнім хірургом у нас стався метч. Він навіть дозволив подивитися на власну операцію. Адже для неї медикаментозний сон не обов’язковий, достатньо спінальної анестезії. Як цікаво! Це ж можна побачити, як свердлять мій суглоб і чіпляють туди два крихітні титанові ґудзики!
Як ви вже зрозуміли, до операції я була спокійна як удав, попри хвилювання близьких. Заплела косички, про які давно мріяла, зробила свіжий манікюр, бо далі ж чекали два тижні милиць.
Навіть на секонд забігла оперативно поповнити гардероб довшими спідницями, припускаючи (і правильно), що штани на ортез вдягати буде вкрай незручно.
Заходжу сміливо в операційну, напередодні домовилася з анестезіологинею, що знерухомлює ноги, а в сон введе мене, якщо відчую дискомфорт. Вводять препарати, усі усміхнені, усе біленьке, красиве навколо.
«Отак відчуваєте холод?» — питає анестезіологиня, прикладаючи до ноги вологий ватний тампон. Відчуваю чудово не холод, а тампон, і палець, який його тримає. А це ж ногу свердлити мають… Чекаємо ще пару хвилин дії анестезії.
«Відчуваєте тепер?». Чорт, відчуваю!
І тут як в анекдоті: в операційну заносять тацю. А на ній — довге тоненьке свердло. І на вході в операційний зал хірург взуває яскраво-жовті гумові чоботи по коліно.
«Знаєте що? Вирубайте!» — усміхаюсь анестезіологині.
Хвилина дихання масочкою — і прокидаюсь через три години в чистесенькій операційній з перебинтованою вже ногою.
Хірургам довелося побавитись із моїм меніском, який виявився порваним аж у трьох місцях, та операція минула успішно, і я вже третій тиждень реабілітуюся ліками, вправами, сльозами і літрами кави.
Серія 7. До чого тут усі ми?
Моя історія не виняток з правила. Це підтвердження кількох правил:
1. У нас шалена проблема з якістю навчання майбутніх лікарів.
Про це кажуть роками притомні і небайдужі лікарі. Коли МОЗ очолювала Уляна Супрун, цим найбільше переймався її заступник, торакальний хірург Олександр Лінчевський.
Наприклад, казав, що середній рівень підготовки, кваліфікації лікаря по країні дуже низький. МОЗу вдалося одноразово запустити американський тест USMLE в Україні. Його тоді подолали лише 3 % інтернів. Це лікарі-інтерни, котрі виходять на роботу. Іспит з основ медицини, IFOM (як американське ЗНО з медицини), українські студенти-медики склали в середньому на 30 %.
IFOM скасували практично відразу, щойно пішла команда Супрун. Тож зараз у нас навіть немає об’єктивних даних про рівень знань лікарів, які будуть у нас завтра.
Якщо не буде якісного перезапуску медосвіти в Україні, ми завжди гратимемо в рулетку, до наскільки кваліфікованого лікаря потрапимо. І треба буде постійно вмикати свої зв’язки — «порадь лікаря».
Але радикальні зміни в медосвіті політично тема не сексі. Це гра в довгу. Це конфлікти з ректоратами медвишів. Це десакралізація професорів, які не оновлювали своїх знань роками і вчать студентів того, від чого в сучасному світі вже відійшли, або чогось і зовсім антинаукового.
2. У нас відсутня система контролю якості меддопомоги
Системи контролю якості меддопомоги як робочої системи в нашій країні немає. Нема куди піти по незалежну думку, аби розібратися, хто ж мав рацію у моєму випадку, наприклад.
Є інструмент клініко-експертних комісій, утім репутація в них не найкраща. Самі медики кажуть, що лікар лікаря зазвичай прикриває. Це кругова порука.
Наразі є дві думки, що тут робити:
-
МОЗ просто має виконувати свою роботу, бо якість меддопомоги закріплена за відомством, та саме МОЗ визнавало, що це його слабке місце.
-
Віддати хоча б частину контролю якості меддопомоги самим лікарям, запровадивши лікарське самоврядування, коли сама спільнота регулюватиме роботу медиків. І туди ж можна буде звернутися і лікарям, і пацієнтам по оцінку роботи інших медиків. Але самоврядування якщо робити, то якісне. Бо нинішній варіант, який обговорюють, має надто багато ризиків, зокрема корупційних.
3. У нас не існує визнання лікарської помилки помилкою, а не злочином
А існує кругова порука між лікарями зокрема тому, що в нас досі немає різниці між лікарською помилкою, яка сталася несвідомо, і лікарською халатністю або й свідомим заподіянням шкоди пацієнту.
В Україні єдина відповідальність, яку лікар може понести за свої дії — кримінальна. Тому всі помилки й замовчують замість того, аби вчитися на них і покращувати систему.
Багато лікарів мріють, аби в нас створили й запустили реєстр медичних помилок — це коли лікар справді старався, зробив усе, що вмів і міг, але помилився або чогось не врахував. Якщо лікарі не боятимуться кримінальної відповідальності за помилки, це дозволить покращувати всю систему, бо буде постійне джерело навчання для інших лікарів.
За умови якісно запущеного процесу це також означатиме й уніфіковані затверджені протоколи і стандарти допомоги, які переглядатимуть, коли у світі з’являтимуться нові способи діагностики чи лікування тих чи інших станів.
4. Не існує якісної системи передачі нових знань
Коли якийсь наш лікар їде кудись повчитися за кордоном чогось нового, система не бачить цього і не залучає потім лікаря множити ці знання.
І якщо цей лікар сам не знайшов собі учнів або вони його — це наша втрата як країни.
P.S. Мені пощастило — попри втрачений час, знайшла свого хірурга. Часом матюкаюсь від болю, та рухаюсь у бік одужання й повного, сподіваюся, відновлення до кінця року. Ненавиджу милиці. І власну маломобільність. Та при цьому сподіваюся, що спільними зусиллями таки вдасться рухати зміни, аби пошук лікаря перестав бути грою в рулетку з власним здоров’ям.









